Dovolujeme si Vám ukázat několik konkrétních ošetření, která proběhla v naší ordinaci, pro Vaši představu, jak pracujeme a na čem nám záleží…
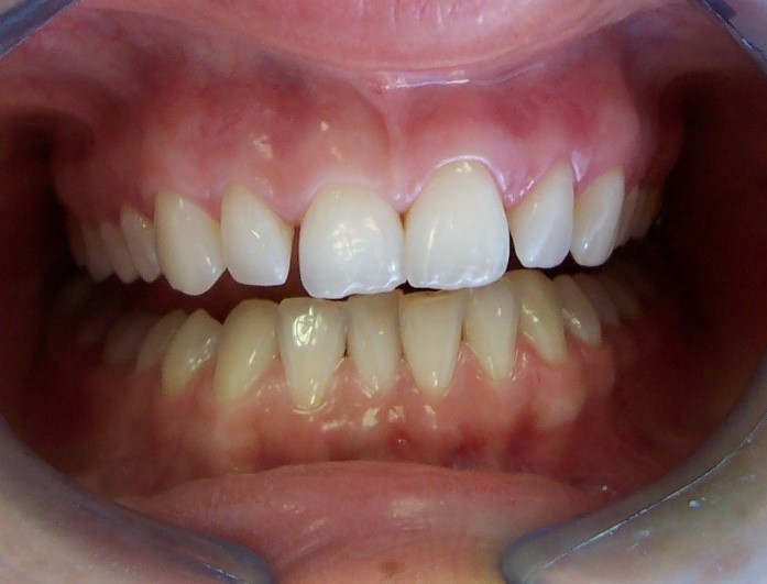
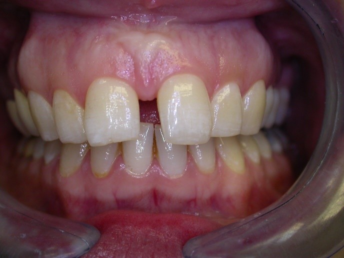
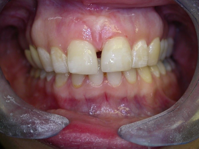
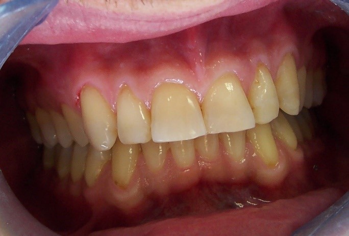
Tvar zubů dělá veliký rozdíl pro estetiku Vašeho úsměvu. Rádi pro Vás takovou změnu uděláme. Úprava diastematu, tedy mezery mezi předními zuby, fotokompozitním materiálem z volné ruky.
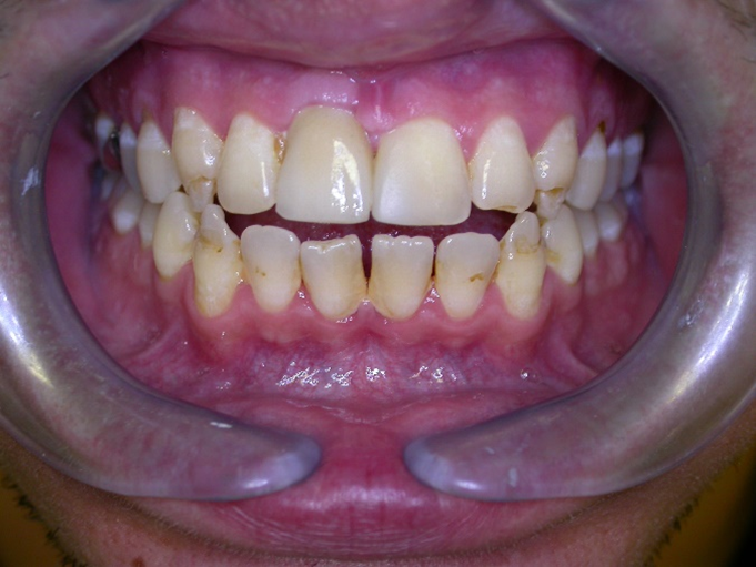
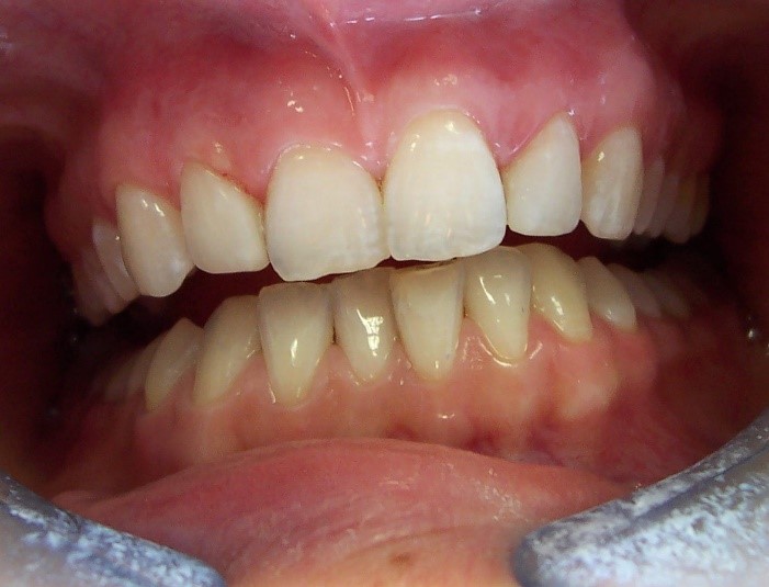
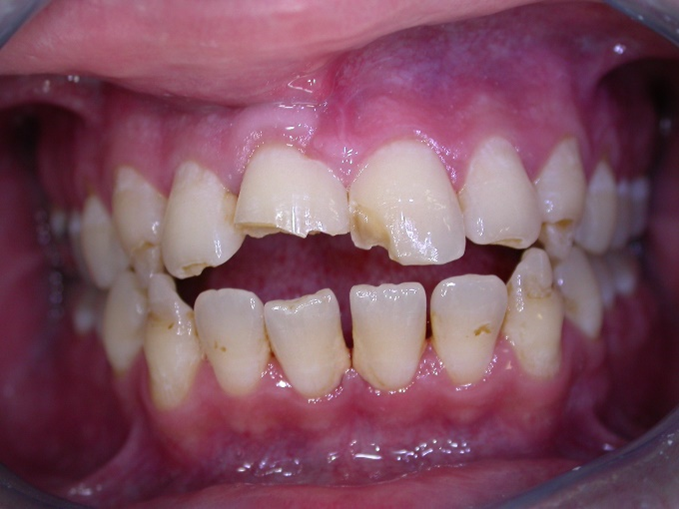
V případě úrazu se snažíme udělat maximum pro zachování vitality, funkce i estetiky postiženého zubu.
© 2022 MUDr. Ladislav Česnek - privátní stomatologická praxe